Knee Fractures

Specialised care for fractures around the knee joint By Dr Rahul Singh (MS, DNB, MRCS) Grammont Shoulder & Knee Clinic, Lucknow

What Are Knee Fractures?

The knee joint is formed by three major bones:

  • Femur (thigh bone)
  • Tibia (shin bone)
  • Patella (kneecap)

A fracture in any of these bones around the knee can severely affect mobility, stability, and weight-bearing. Knee fractures often require expert evaluation because even small irregularities can impact joint alignment and long-term function.

Common causes include road traffic accidents, sports injuries, falls, and direct blows.

Types of Knee Fractures

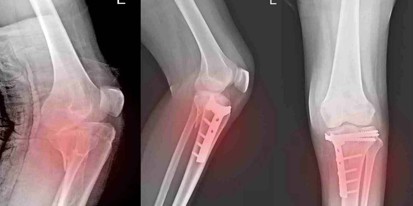
1. Tibial Plateau Fracture

Affects the upper part of the tibia where it meets the knee joint. These fractures can involve joint cartilage and require precise treatment to prevent arthritis.

2. Patella (Kneecap) Fracture

Often results from falls directly onto the knee or sudden quadriceps contraction. May cause difficulty in straightening the leg.

3. Distal Femur Fracture

Occurs at the lower end of the thigh bone, just above the knee. Seen commonly in high-energy trauma or elderly patients with weak bones.

4. Segond, Tibial Spine & Avulsion Fractures

Often associated with ligament injuries (ACL/PCL/MCL). Require comprehensive evaluation for combined damage.

5. Knee Fracture-Dislocations

A rare but serious injury involving both bone breakage and ligament disruption.

Symptoms of Knee Fractures

A knee fracture may cause:

  • Severe pain and inability to bear weight
  • Swelling, bruising, or rapid knee filling with blood
  • Visible deformity or misalignment
  • Inability to fully straighten or bend the knee
  • Crepitus (grinding sensation)
  • Restricted movement or instability

Immediate medical care is essential to prevent joint damage.

Diagnosis at Grammont Shoulder & Knee Clinic

Dr Rahul Singh performs a thorough evaluation including:

  • Clinical examination
  • X-rays to assess fracture type and displacement
  • CT scan for complex joint fractures
  • MRI to check associated ligament, meniscus, or cartilage injury

Precise imaging ensures accurate planning for optimal recovery.

Treatment Options

1. Non-Surgical Treatment

Suitable for stable, non-displaced fractures.

Management includes

  • Knee immobiliser or brace
  • Rest, ice, and pain control
  • Limited weight-bearing
  • Regular imaging to monitor healing
  • Physiotherapy to restore strength and movement

Effective for minor patella fractures and simple tibial plateau fractures.

2. Surgical Treatment

Surgery may be required when

  • Fractures are displaced
  • Joint surface is misaligned
  • Patella is broken into multiple pieces
  • Ligament injuries accompany the fracture
  • The knee becomes unstable

Surgical Options Include

  • Open Reduction & Internal Fixation (ORIF)
    Using plates, screws, or wires to realign the bone precisely.
  • External Fixation
    Used in high-energy trauma or severe swelling.
  • Minimally Invasive / Arthroscopy-Assisted Fixation
    Helps treat joint depression, meniscus tears, and cartilage injuries.
  • Bone Grafting
    For fractures with bone loss.

Early fixation and accurate alignment help prevent long-term arthritis and stiffness.

Recovery & Rehabilitation

Recovery depends on the injury severity but typically includes:

  • 0–6 weeks: Limited weight-bearing, knee brace, gentle mobility
  • 6–12 weeks: Gradual strengthening and controlled bending
  • 3–6 months: Functional training, return to daily activities
  • 6–12 months: Return to sports or heavy work (case-dependent)

Physiotherapy is essential to avoid stiffness and regain full motion.

Why Choose Grammont Shoulder & Knee Clinic?

  • Expertise in complex knee trauma and fracture reconstruction
  • Precise imaging and customised treatment plans
  • Advanced surgical techniques for joint preservation
  • Comprehensive post-treatment physiotherapy
  • High success rate with early mobilisation and functional recovery
Recover Safely With Expert Knee Trauma Care

If you’ve suffered a knee injury or fracture, timely and specialised treatment can significantly improve your long-term knee function.

Consult Dr Rahul Singh

Grammont Shoulder & Knee Clinic, Lucknow for accurate assessment and advanced fracture management.